Maestro Ortho Studio
The world's leading orthodontic software for Virtual Setups, Aligners, Indirect Bonding and More !
The orthodontic Basic Module allows to manage clinic, doctors, patients and cases through a database. It allows to create virtual bases (ABO, ABO-2013, Ricketts, Parallel, Tweed) and add them to the scanned stone models. It is also possible to perform occlusal inspection analysis, 2D / 3D sections, measurement on teeth and full arches. This module is required in order to use the other modules.

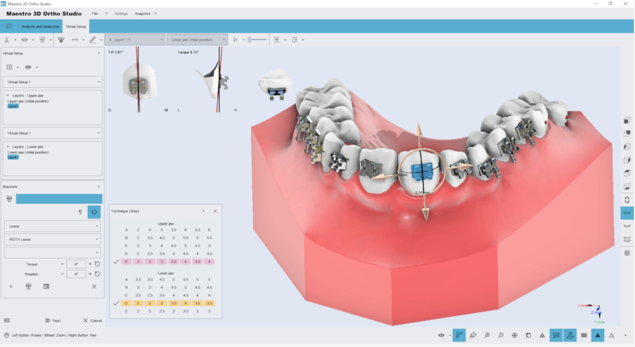
The Virtual Setup module allows to move the teeth for both the arches, evaluating distances contacts and intersections. It also allows to add and customize attachments / labels (both positive or negative) and to perform teeth extractions and IPR (interproximal reduction).

The transition Models Builder module allows to create the set of 3D models needed for the whole orthodontic treatment, ready to be exported in STL/PLY/OBJ file format and optimized for the 3D printing. The user can decide the number of transition models, the maximum movement along the canonical axes and the maximum expected rotation for each model.

Cut and Close function allows removal of excess parts in order to save material and speed up the 3D printing process of models.

The Brackets Placement module allows to automatically place the brackets on the teeth. It offers various placement techniques (Step, Roth, Wick Alexander, Dwight Damon, MBT, Andrews) and, in combination with the clear aligner module, allows to construct several types of trays for the transfer of the brackets in the mouth of the patient.


The Clear Aligner module allows to design and construct the clear aligners in a virtual way; with this module is possible to draw the aligner shape, set a variable thickness and simulate the thermoforming. It is also intended for CAD design of direct 3D printed aligners. It also allows you to make the bracket transfer trays for bracket placement (with or without jig) and guides for etching for attachment placement.

Combine CBCT Data. Use the real roots, when available, in order to exactly determine the axes of the teeth and to know the exact position of the roots. The software allows you to combine the opticalscanned crowns with the real roots, obtaining a very accurate and detailed final 3D Model, very useful in the successive steps. The picture below shows an example of scanned crowns merged with roots coming from a CBCT scan. The merging process is fast, easy and totally automatic.

Contact Us
Contact us to find out the difference exocad from Fabdent can make to your dental practice or laboratory.
Don't hesitate to contact us today .
Fabdent Products and Services © 2021

